Accessible Version
Patrick Briese Dentistry
You don't need insurance to come here. We sell in-house membership plans.

Invisalign

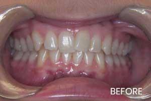
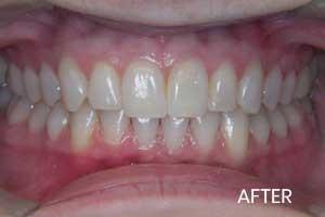
Our patient was unhappy with her crowded smile and wanted to straighten her teeth before graduation. She wanted straighter teeth but didn’t want to wear traditional metal braces. After 6 months of Invisalign clear aligners along with tray whitening she was able to achieve her goal just in time for senior pictures.

Related Services:

Invisalign Clear Aligners
Improve your smile today – call to schedule a consultation!
If you have difficulty using our website, please email us or call us at (337) 334-3724
View the ADA Accessibility Statement