Accessible Version
Patrick Briese Dentistry
You don't need insurance to come here. We sell in-house membership plans.

Invisalign Invisible Braces

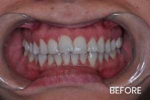
Our patient was unhappy with her crowded and discolored smile. We chose the clear alternative to braces and decided on Invisalign. She was thrilled to learn she could whiten her teeth at the same time during Invisalign treatment. Upon completion of Invisalign, she was rewarded with not only a straighter smile, but a much brighter one!

Related Services:

Invisalign Clear Aligners
Implant Dentist Rayne, LA Dr Patrick Briese Andy's Testimonial
Ready to book an appointment?
If you have difficulty using our website, please email us or call us at (337) 334-3724
View the ADA Accessibility Statement