Accessible Version
Patrick Briese Dentistry
You don't need insurance to come here. We sell in-house membership plans.

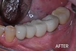
Implant Bridge

Because she had a very large space with 4 missing teeth in her lower jaw. She was completely unable to eat on that side of her mouth. A removable prosthesis was out of the question, she wanted something permanent. We placed 2 implants in the space and fabricated a 4-unit porcelain bridge. The bridge is extremely strong, non-removable, and should last her the rest of her life. We accomplished this with local anesthesia only and her downtime was minimal – she was back to work the following day.

Related Services:

Dental Implants
Implant Dentist Rayne, LA Dr Patrick Briese Andy's Testimonial
Ready to book an appointment?
If you have difficulty using our website, please email us or call us at (337) 334-3724
View the ADA Accessibility Statement